Із 20 листопада по 20 грудня 2023 року тривала українська частина Конкурсу наукових зображень. До неї долучилося 72 учасники та учасниці, які завантажили 362 візуальних наукових матеріали. Про переможців конкурсу розповідаємо у цій статті.
Конкурс наукових зображень — це щорічна масштабна міжнародна кампанія, метою якої є популяризація науки через світлини та графічні матеріали, які пізніше ілюструватимуть наукові статті у Вікіпедії. Українську частину конкурсу проводить ГО «Вікімедіа Україна».
У 2023 році до кампанії долучилося 72 учасники та учасниці, які завантажили 362 наукові зображення у п’яти номінаціях: «Люди в науці», «Мікроскопія», «Живі організми», «Нефотографічні зображення» та «Загальна категорія».
З міркувань безпеки під час воєнного стану до категорій «Живі організми» та «Загальна категорія» приймали лише фото, зроблені до 1 листопада 2023 року включно.
Після завершення конкурсу у грудні ми сформували журі, до складу якого увійшли спеціалісти з різних наукових галузей. Вони обрали найкращі світлини та визначили до п’яти переможців у кожній категорії. Конкурсні роботи 2023 року оцінювали:
- Наталія Атамась — зоологиня, Інститут зоології ім. І. І. Шмальгаузена НАН України.
- Антон Сененко — фізик, Інститут фізики НАН України.
- Кирило Пиршев — біохімік, Науково-медичний центр Техаського університету в Г’юстоні.
- Наталя Хамайко — археологиня, Інститут археології НАН України та Інститут історії та культури Східної Європи асоціації Ляйбніца.
- Вікторія Березовська — ботанікиня, Інститут ботаніки ім. М. Г. Холодного НАН України та Університет Оулу (Фінляндія).
- Максим Ціж — астрофізик, Астрономічна обсерваторія ЛНУ ім. І. Франка. Дослідник факультету фізики та астрономії Болонського університету
- Юрій Бенгус — ботанік, Харківський національний педагогічний університет імені Григорія Сковороди.
Журі оцінювало зображення зважаючи на чотири основні критерії:
- науковість (відповідність тематиці конкурсу та наукова цінність матеріалу);
- якість підпису українською та англійською мовами;
- цінність зображення для Вікіпедії та Вікісховища;
- естетичність (технічна якість, чіткість тощо).
Живі організми
До категорії «Живі організми» увійшли зображення комах, рослин, птахів, тощо. Загалом 2023 року у категорію надійшли 166 світлин.






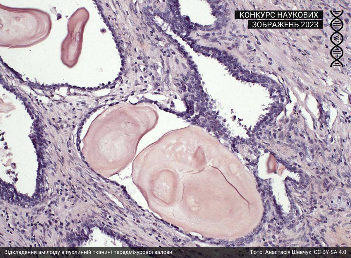
Мікроскопія
Під цю категорію підпадають світлини, зроблені за допомогою різних методик мікроскопії. Минулого року до цієї категорії учасники та учасниці завантажили 43 фотографії.





Спеціальна відзнака журі
Журі призначили спеціальну відзнаку серії зображень однієї авторки: https://w.wiki/99qJ, https://w.wiki/99qK, https://w.wiki/99qL, https://w.wiki/99qM




Люди в науці
«Люди в науці» — це категорія, у якій ми можемо спостерігати науковців у процесі їх роботи. Загалом до неї подали 20 світлин зі спеціалістами різних галузей.

Друге місце
Друге місце посіли два фото: https://w.wiki/99q4, https://w.wiki/99q5


Третє місце
На третьому місці — дві світлини: https://w.wiki/99q6, https://w.wiki/99q7


Нефотографічні зображення
Візуальні зображення, які не є фото, змагалися у категорії «Нефотографічні зображення».



Загальна категорія
Усі світлини, які не підпадають під жодну з вищезазначених категорій оцінювали у межах «Загальної категорії». Загалом ми отримали 106 таких світлин.




Примітка: у межах конкурсу також проходила спеціальна відзнака, присвячена наслідкам війни. На жаль, ми отримали небагато якісних зображень на цю спецномінацію, тому за рішенням журі та організаційного комітету переможців у ній не визначено.
Дякуємо всім конкурсантам та конкурсанткам за те, що зробили внесок у популяризацію науки в Україні шляхом наповнення Вікіпедії якісними науковими зображеннями.
Фото, які перемогли на українському етапі конкурсу, будуть змагатися на міжнародній частині Конкурсу наукових зображень 2023.
У суботу 24 лютого о 12:00 пройде церемонія нагородження конкурсу у онлайн-форматі. Якщо ви хочете долучитися і ще не отримали особистого запрошення, напишіть організаційній команді за адресою: SciencePhoto@wikimedia.org.ua